1. Home
  2. Eye area・Doublelid / Doublelid
  3. Natural adhesion method / Suture method
  4. Case Details No.00111

Case Details

No.00111

double eyelid

Condition of the Area

  • Droopy eyelids
  • Hidden double eyelids

Patient’s Request

  • #Correct Asymmetry
  • #Tapered Double Eyelids
  • #4-Point Natural Adhesion Method (Square)
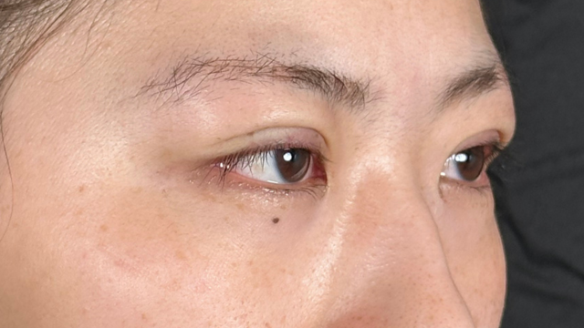
  • Before
    Preoperative Condition Part 1
  • Before
    Preoperative Condition Part 1
  • Before
    Preoperative Condition Part 1
  • After
    Postoperative Condition Part 1
  • After
    Postoperative Condition Part 1
  • After
    Postoperative Condition Part 1
  • Procedure Name
    4-Point Natural Adhesion Method (Square) + Lower Blepharoplasty + Upper Blepharoplasty
  • Procedure / Risks
    【Burial method/natural adhesion method】
    ▪︎Regular price / ¥14,800〜¥418,000
    ▪︎Number of procedures / 1
    ▪︎Treatment details / This is a procedure that creates double eyelids by fixing several parts of the eyelids with special threads.
    ▪︎Risks and side effects / Swelling, pain, internal bleeding: About 2 days to 2 weeks ※Private Medical Care

    【Upper Blepharoplasty】
    ▪︎Regular price / ¥150,000
    ▪︎Number of procedures / 1
    ▪︎Treatment details / This is a procedure to reduce orbital fat in the upper eyelid.
    ▪︎Risks and side effects / Pain and heat sensation: about 1 week / Bruising: about 1-2 weeks / Redness of the incision: about 3 months ※Private Medical Care
  • Doctor
    Koushoku Sai

Post OP Progress

Before

  • Postoperative Condition Part 1
  • Postoperative Condition Part 1
  • Postoperative Condition Part 1

Right After surgery

  • Postoperative Condition Part 1
  • Postoperative Condition Part 1
  • Postoperative Condition Part 1

After 1 week (With makeup)

  • Postoperative Condition Part 1
  • Postoperative Condition Part 1
  • Postoperative Condition Part 1

After 1 month (With makeup)

  • Postoperative Condition Part 1
  • Postoperative Condition Part 1
  • Postoperative Condition Part 1

시술 1개월 후 (메이크업 있음)

  • Postoperative Condition Part 1
  • Postoperative Condition Part 1
  • Postoperative Condition Part 1