1. Home
  2. Eye bags / Eye bags removal
  3. Hamra Method
  4. Case Details No.00131

Case Details

No.00131

Hamra Method

Condition of the Area

  • Prominent sagging, Bulging under the eyes

Patient’s Request

  • #Anterior Hamra Method
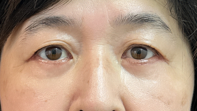
  • Before
    Preoperative Condition Part 1
  • Before
    Preoperative Condition Part 1
  • Before
    Preoperative Condition Part 1
  • After
    Postoperative Condition Part 1
  • After
    Postoperative Condition Part 1
  • After
    Postoperative Condition Part 1
  • Procedure Name
    Anterior Hamra Method
  • Procedure / Risks
    【Hamra Method】
    ▪︎Regular price/ ¥500,000
    ▪︎Number of procedures / 1
    ▪︎Treatment details / This treatment not only removes excess orbital fat, but also moves fat to areas that have become sunken due to aging, etc., thereby eliminating the puffiness under the eyes and at the same time, creating a natural, smooth texture.
    ▪︎Risks and side effects / Pain and heat sensation: about 1 week / Redness of the incision sites: about 3 months ※Private Medical Care
  • Doctor
    Taichi Wake

Post OP Progress

Title

  • Postoperative Condition Part 1
  • Postoperative Condition Part 1
  • Postoperative Condition Part 1

Right After surgery

  • Postoperative Condition Part 1
  • Postoperative Condition Part 1
  • Postoperative Condition Part 1

After 1 week (with NO makeup)

  • Postoperative Condition Part 1
  • Postoperative Condition Part 1
  • Postoperative Condition Part 1

After 1 month (with NO makeup)

  • Postoperative Condition Part 1
  • Postoperative Condition Part 1
  • Postoperative Condition Part 1