1. Home
  2. Eye bags / Eye bags removal
  3. Lower Eyelid Blepharoplasty
  4. Case Details No.00362

Case Details

No.00362

Lower Eyelid Blepharoplasty

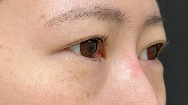
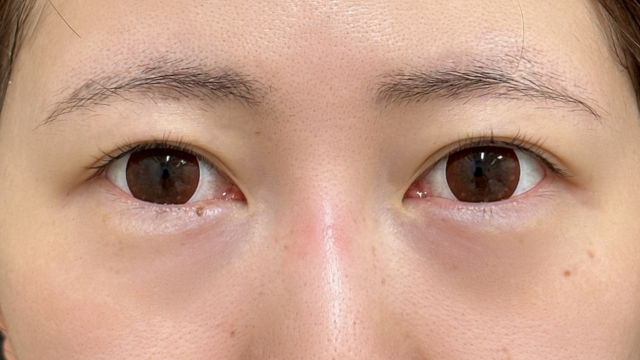
Condition of the Area

  • Tired looking

Patient’s Request

  • #lower eyelid blepharoplasty
  • Before
    Preoperative Condition Part 1
  • Before
    Preoperative Condition Part 1
  • Before
    Preoperative Condition Part 1
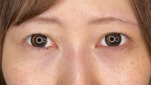
  • After
    Postoperative Condition Part 1
  • After
    Postoperative Condition Part 1
  • After
    Postoperative Condition Part 1
  • Procedure Name
    Lower Eyelid Blepharoplasty
  • Procedure / Risks
    【Lower eyelid Blepharoplasty】
    ▪︎Regular price / ¥19,800〜¥250,500
    ▪︎Number of procedures / 1
    ▪︎Treatment details / This is a treatment that removes only the excess fat that causes dark circles from the inner, central, and outer areas while adjusting the balance.
    ▪︎Risks and side effects / Bruising, swelling, redness, conjunctival edema ※Private Medical Care
  • Doctor
    Yoichi Wakiyama

Post OP Progress

Before

  • Postoperative Condition Part 1
  • Postoperative Condition Part 1
  • Postoperative Condition Part 1

Right After surgery

  • Postoperative Condition Part 1
  • Postoperative Condition Part 1
  • Postoperative Condition Part 1

After 1 week (with NO makeup)

  • Postoperative Condition Part 1
  • Postoperative Condition Part 1
  • Postoperative Condition Part 1

After 1 week (with makeup)

  • Postoperative Condition Part 1
  • Postoperative Condition Part 1
  • Postoperative Condition Part 1

After 1 month (with NO makeup)

  • Postoperative Condition Part 1
  • Postoperative Condition Part 1
  • Postoperative Condition Part 1

After 1 month (with makeup)

  • Postoperative Condition Part 1
  • Postoperative Condition Part 1
  • Postoperative Condition Part 1