1. Home
  2. Sagging above the eyes / Ptosis Procedure
  3. Ptosis Surgery
  4. Case Details No.00522

Case Details

No.00522

Ptosis

Condition of the Area

  • Hidden double eyelids
  • Menacing look in the eyes

Patient’s Request

  • #Non incisional Ptosis
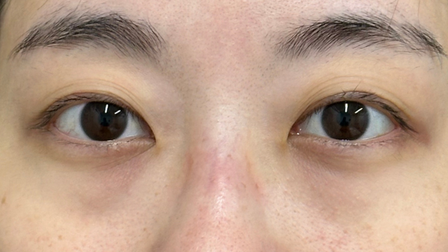
  • Before
    Preoperative Condition Part 1
  • Before
    Preoperative Condition Part 1
  • Before
    Preoperative Condition Part 1
  • After
    Postoperative Condition Part 1
  • After
    Postoperative Condition Part 1
  • After
    Postoperative Condition Part 1
  • Procedure Name
    Non-incisional Ptosis Procedure
  • Procedure / Risks
    【Non-incisional Ptosis Procedure】
    ▪︎Regular price / ¥300,000
    ▪︎Treatment details / This is a procedure that pulls and fixes the levator aponeurosis to the tarsal plate by simply manipulating threads without cutting the skin, improving eye opening.
    ▪︎Risks and side effects / Asymmetry, recurrence, bruising, swelling ※Private Medical Care
  • Doctor
    Yoichi Wakiyama

Post OP Progress

Before

  • Postoperative Condition Part 1
  • Postoperative Condition Part 1
  • Postoperative Condition Part 1

Right After surgery

  • Postoperative Condition Part 1
  • Postoperative Condition Part 1
  • Postoperative Condition Part 1

After 1 week (with NO makeup)

  • Postoperative Condition Part 1
  • Postoperative Condition Part 1
  • Postoperative Condition Part 1

After 1 week (with makeup)

  • Postoperative Condition Part 1
  • Postoperative Condition Part 1
  • Postoperative Condition Part 1

After 1 month (with NO makeup)

  • Postoperative Condition Part 1
  • Postoperative Condition Part 1
  • Postoperative Condition Part 1