1. Home
  2. Eye area・Doublelid / Doublelid
  3. Natural adhesion method / Suture method
  4. Case Details No.00645

Case Details

No.00645

double eyelid

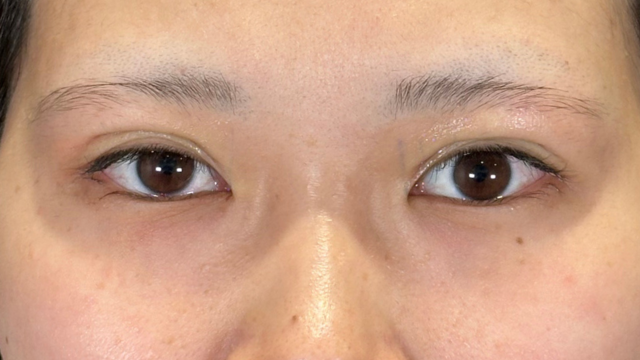
Condition of the Area

  • Heavy Eyelids
  • smaller and thinner eyes

Patient’s Request

  • #Correct Asymmetry
  • #4-Point Natural Adhesion Method (Square)
  • Before
    Preoperative Condition Part 1
  • Before
    Preoperative Condition Part 1
  • Before
    Preoperative Condition Part 1
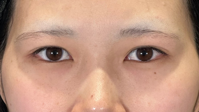
  • After
    Postoperative Condition Part 1
  • After
    Postoperative Condition Part 1
  • After
    Postoperative Condition Part 1
  • Procedure Name
    4-Point Natural Adhesion Method (Square)
  • Procedure / Risks
    【Burial method/natural adhesion method】
    ▪︎Regular price / ¥14,800〜¥418,000
    ▪︎Number of procedures / 1
    ▪︎Treatment details / This is a procedure that creates double eyelids by fixing several parts of the eyelids with special threads.
    ▪︎Risks and side effects / Swelling, pain, internal bleeding: About 2 days to 2 weeks ※Private Medical Care
  • Doctor
    Yuriko Yasuda

Post OP Progress

Before

  • Postoperative Condition Part 1
  • Postoperative Condition Part 1
  • Postoperative Condition Part 1

Right After surgery

  • Postoperative Condition Part 1
  • Postoperative Condition Part 1
  • Postoperative Condition Part 1

After 1 week (with NO makeup)

  • Postoperative Condition Part 1
  • Postoperative Condition Part 1
  • Postoperative Condition Part 1

After 1 week (with makeup)

  • Postoperative Condition Part 1
  • Postoperative Condition Part 1
  • Postoperative Condition Part 1

After 1 month (with makeup)

  • Postoperative Condition Part 1
  • Postoperative Condition Part 1
  • Postoperative Condition Part 1