1. 首页
  2. 眼部・双眼皮 / 双眼皮
  3. 无痕双眼皮埋线法・埋线法
  4. 案例详情 No.00369

案例详情

No.00369

无痕双眼皮埋线法

患部状态

  • 眼睑沉重
  • 眼睑松弛

本人要求

  • #希望调整左右不对称
  • #四点无痕双眼皮埋线法(方形法)
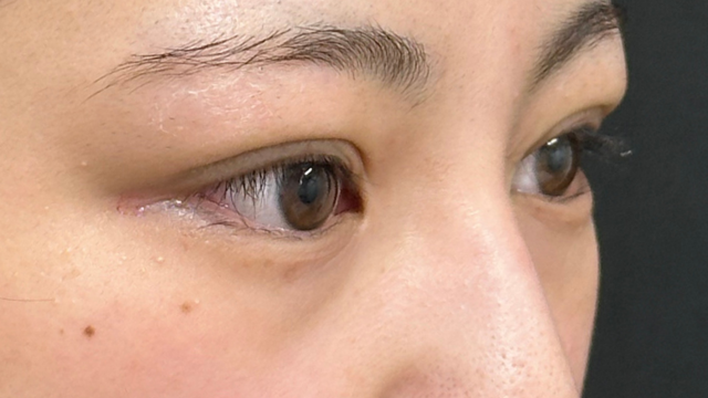
  • Before
    手术前的状态 其一
  • Before
    手术前的状态 其一
  • Before
    手术前的状态 其一
  • After
    手术后的状态 其一
  • After
    手术后的状态 其一
  • After
    手术后的状态 其一
  • 手术名称
    四点无痕双眼皮埋线法(方形法)
  • 治疗内容・风险
    【掩埋法/自然粘附法】
    ▪︎通常价格 / ¥14,800〜¥418,000
    ▪︎治疗次数 / 1
    ▪︎治疗内容 / 这是通过特殊线固定眼睑的多个部分来形成双眼皮的手术。
    ▪︎风险和副作用 / 肿胀、疼痛、内出血:约 2 天至 2 周 *免费治疗 ※自费医疗
  • 医生
    能登谷 翔

术后恢复

手术前

  • 手术前的状态 其一
  • 手术前的状态 其一
  • 手术前的状态 其一

手术后立即

  • 手术前的状态 其一
  • 手术前的状态 其一
  • 手术前的状态 其一

手术一个月后(无化妆)

  • 手术前的状态 其一
  • 手术前的状态 其一
  • 手术前的状态 其一

手术一个月后(有化妆)

  • 手术前的状态 其一
  • 手术前的状态 其一
  • 手术前的状态 其一