1. Home
  2. Sagging above the eyes / Ptosis Procedure

Ptosis Procedure

Filtered Search

Displaying 1 - 8 results: 8 in total

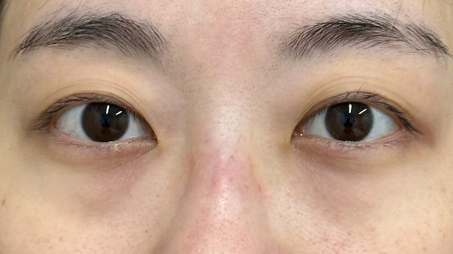
Woman 40's

No.00527

Condition of the Area

  • Hidden double eyelids
  • Menacing look in the eyes

Patient’s Request

  • #Incisional Ptosis
  • Before
    Preoperative Condition Part 1
  • Before
    Preoperative Condition Part 1
  • Before
    Preoperative Condition Part 1
  • After
    Postoperative Condition Part 1
  • After
    Postoperative Condition Part 1
  • After
    Postoperative Condition Part 1

Procedure / Risks

  • Procedure / Risks
    【Incisional Ptosis】
    ▪︎Regular price / ¥437,800
    ▪︎Number of procedures / 1
    ▪︎Treatment details / This is a procedure in which an incision is made in the eyelid, the levator muscle is removed from the tarsal plate, and the levator muscle is sewn together to improve the eye opening.
    ▪︎Risks and side effects / Asymmetry, recurrence, bruising, swelling ※Private Medical Care

Woman 30's

No.00522

Condition of the Area

  • Hidden double eyelids
  • Menacing look in the eyes

Patient’s Request

  • #Non incisional Ptosis
  • Before
    Preoperative Condition Part 1
  • Before
    Preoperative Condition Part 1
  • Before
    Preoperative Condition Part 1
  • After
    Postoperative Condition Part 1
  • After
    Postoperative Condition Part 1
  • After
    Postoperative Condition Part 1

Procedure / Risks

  • Procedure / Risks
    【Non-incisional Ptosis Procedure】
    ▪︎Regular price / ¥300,000
    ▪︎Treatment details / This is a procedure that pulls and fixes the levator aponeurosis to the tarsal plate by simply manipulating threads without cutting the skin, improving eye opening.
    ▪︎Risks and side effects / Asymmetry, recurrence, bruising, swelling ※Private Medical Care

Woman 30's

No.00515

Condition of the Area

  • Hidden double eyelids
  • Menacing look in the eyes

Patient’s Request

  • #Non incisional Ptosis
  • Before
    Preoperative Condition Part 1
  • Before
    Preoperative Condition Part 1
  • Before
    Preoperative Condition Part 1
  • After
    Postoperative Condition Part 1
  • After
    Postoperative Condition Part 1
  • After
    Postoperative Condition Part 1

Procedure / Risks

  • Procedure / Risks
    【Non-incisional Ptosis Procedure】
    ▪︎Regular price / ¥300,000
    ▪︎Treatment details / This is a procedure that pulls and fixes the levator aponeurosis to the tarsal plate by simply manipulating threads without cutting the skin, improving eye opening.
    ▪︎Risks and side effects / Asymmetry, recurrence, bruising, swelling ※Private Medical Care

Woman 20's

No.00384

Condition of the Area

  • eyelid heaviness
  • Droopy eyelids

Patient’s Request

  • #Incisional Ptosis
  • Before
    Preoperative Condition Part 1
  • Before
    Preoperative Condition Part 1
  • Before
    Preoperative Condition Part 1
  • After
    Postoperative Condition Part 1
  • After
    Postoperative Condition Part 1
  • After
    Postoperative Condition Part 1

Procedure / Risks

  • Procedure / Risks
    【Incisional Ptosis】
    ▪︎Regular price / ¥437,800
    ▪︎Number of procedures / 1
    ▪︎Treatment details / This is a procedure in which an incision is made in the eyelid, the levator muscle is removed from the tarsal plate, and the levator muscle is sewn together to improve the eye opening.
    ▪︎Risks and side effects / Asymmetry, recurrence, bruising, swelling ※Private Medical Care

Woman 50's

No.00045

Condition of the Area

  • Ptosis
  • eyelid heaviness

Patient’s Request

  • #Lessen sleepy-looking eyes
  • #lower eyelid blepharoplasty
  • #Incisional Ptosis
  • Before
    Preoperative Condition Part 1
  • Before
    Preoperative Condition Part 1
  • Before
    Preoperative Condition Part 1
  • After
    Postoperative Condition Part 1
  • After
    Postoperative Condition Part 1
  • After
    Postoperative Condition Part 1

Procedure / Risks

  • Procedure / Risks
    【Incisional Ptosis】
    ▪︎Regular price / ¥437,800
    ▪︎Number of procedures / 1
    ▪︎Treatment details / This is a procedure in which an incision is made in the eyelid, the levator muscle is removed from the tarsal plate, and the levator muscle is sewn together to improve the eye opening.
    ▪︎Risks and side effects / Asymmetry, recurrence, bruising, swelling ※Private Medical Care

Woman 20's

No.00042

Condition of the Area

  • Ptosis
  • eyelid heaviness
  • Previous suturing experience

Patient’s Request

  • #Correct Asymmetry
  • Before
    Preoperative Condition Part 1
  • Before
    Preoperative Condition Part 1
  • Before
    Preoperative Condition Part 1
  • After
    Postoperative Condition Part 1
  • After
    Postoperative Condition Part 1
  • After
    Postoperative Condition Part 1

Procedure / Risks

  • Procedure / Risks
    【Incisional Ptosis】
    ▪︎Regular price / ¥437,800
    ▪︎Number of procedures / 1
    ▪︎Treatment details / This is a procedure in which an incision is made in the eyelid, the levator muscle is removed from the tarsal plate, and the levator muscle is sewn together to improve the eye opening.
    ▪︎Risks and side effects / Asymmetry, recurrence, bruising, swelling ※Private Medical Care

Woman 60's

No.00040

Condition of the Area

  • eyelid heaviness
  • Droopy eyelids

Patient’s Request

  • #Non incisional Ptosis
  • Before
    Preoperative Condition Part 1
  • Before
    Preoperative Condition Part 1
  • Before
    Preoperative Condition Part 1
  • After
    Postoperative Condition Part 1
  • After
    Postoperative Condition Part 1
  • After
    Postoperative Condition Part 1

Procedure / Risks

  • Procedure / Risks
    【Non-incisional Ptosis Procedure】
    ▪︎Regular price / ¥300,000
    ▪︎Treatment details / This is a procedure that pulls and fixes the levator aponeurosis to the tarsal plate by simply manipulating threads without cutting the skin, improving eye opening.
    ▪︎Risks and side effects / Asymmetry, recurrence, bruising, swelling ※Private Medical Care

Woman 50's

No.00036

Condition of the Area

  • Sunken Eyes
  • Droopy eyelids

Patient’s Request

  • #Non incisional Ptosis
  • Before
    Preoperative Condition Part 1
  • Before
    Preoperative Condition Part 1
  • Before
    Preoperative Condition Part 1
  • After
    Postoperative Condition Part 1
  • After
    Postoperative Condition Part 1
  • After
    Postoperative Condition Part 1

Procedure / Risks

  • Procedure / Risks
    【Non-incisional Ptosis Procedure】
    ▪︎Regular price / ¥300,000
    ▪︎Treatment details / This is a procedure that pulls and fixes the levator aponeurosis to the tarsal plate by simply manipulating threads without cutting the skin, improving eye opening.
    ▪︎Risks and side effects / Asymmetry, recurrence, bruising, swelling ※Private Medical Care