1. Home
  2. Eye bags / Eye bags removal

Eye bags removal

Filtered Search

Displaying 1 - 20 results: 37 in total

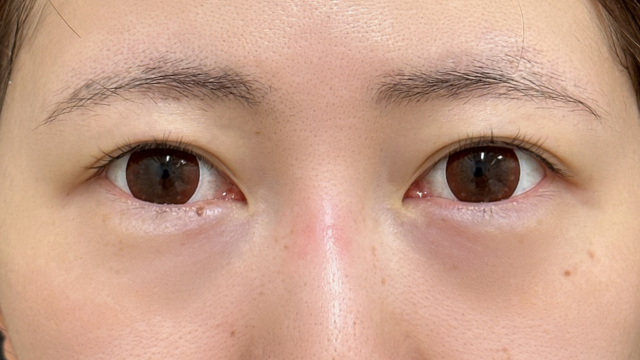
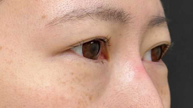
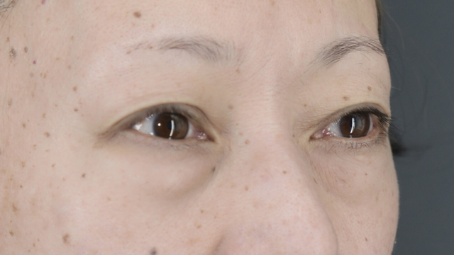
Woman 50's

No.00818

Condition of the Area

  • Prominent sagging, Bulging under the eyes
  • dark circles

Patient’s Request

  • #Anterior Hamra Method
  • Before
    Preoperative Condition Part 1
  • Before
    Preoperative Condition Part 1
  • Before
    Preoperative Condition Part 1
  • After
    Postoperative Condition Part 1
  • After
    Postoperative Condition Part 1
  • After
    Postoperative Condition Part 1

Procedure / Risks

  • Procedure / Risks
    【Hamra Method】
    ▪︎Regular price/ ¥500,000
    ▪︎Number of procedures / 1
    ▪︎Treatment details / This treatment not only removes excess orbital fat, but also moves fat to areas that have become sunken due to aging, etc., thereby eliminating the puffiness under the eyes and at the same time, creating a natural, smooth texture.
    ▪︎Risks and side effects / Pain and heat sensation: about 1 week / Redness of the incision sites: about 3 months ※Private Medical Care

Woman 30's

No.00799

Condition of the Area

  • Tired looking

Patient’s Request

  • #lower eyelid blepharoplasty
  • Before
    Preoperative Condition Part 1
  • Before
    Preoperative Condition Part 1
  • Before
    Preoperative Condition Part 1
  • After
    Postoperative Condition Part 1
  • After
    Postoperative Condition Part 1
  • After
    Postoperative Condition Part 1

Procedure / Risks

  • Procedure / Risks
    【Medial Canthoplasty】
    ▪︎Regular price / ¥275,000
    ▪︎Number of procedures / 1
    ▪︎Treatment details / This is a procedure that widens the width of the eyes and adjusts the balance between the left and right eyes by making an incision a few millimeters in the inner corner of the eye and removing the Mongolian folds.
    ▪︎Risks and side effects / Swelling, pain, bruising, scars, and redness: about 3 days to 3 months ※Private Medical Care

    【Lower eyelid Blepharoplasty】
    ▪︎Regular price / ¥19,800〜¥250,500
    ▪︎Number of procedures / 1
    ▪︎Treatment details / This is a treatment that removes only the excess fat that causes dark circles from the inner, central, and outer areas while adjusting the balance.
    ▪︎Risks and side effects / Bruising, swelling, redness, conjunctival edema ※Private Medical Care

Woman 40's

No.00745

Condition of the Area

  • Prominent sagging, Bulging under the eyes
  • dark circles

Patient’s Request

  • #Lessen sagging and bulging
  • #lower eyelid blepharoplasty
  • Before
    Preoperative Condition Part 1
  • Before
    Preoperative Condition Part 1
  • Before
    Preoperative Condition Part 1
  • After
    Postoperative Condition Part 1
  • After
    Postoperative Condition Part 1
  • After
    Postoperative Condition Part 1

Procedure / Risks

  • Procedure / Risks
    【Lower eyelid Blepharoplasty】
    ▪︎Regular price / ¥19,800〜¥250,500
    ▪︎Number of procedures / 1
    ▪︎Treatment details / This is a treatment that removes only the excess fat that causes dark circles from the inner, central, and outer areas while adjusting the balance.
    ▪︎Risks and side effects / Bruising, swelling, redness, conjunctival edema ※Private Medical Care

Woman 50's

No.00738

Condition of the Area

  • Prominent sagging, Bulging under the eyes
  • dark circles

Patient’s Request

  • #Posterior Hamra Method
  • Before
    Preoperative Condition Part 1
  • Before
    Preoperative Condition Part 1
  • Before
    Preoperative Condition Part 1
  • After
    Postoperative Condition Part 1
  • After
    Postoperative Condition Part 1
  • After
    Postoperative Condition Part 1

Procedure / Risks

  • Procedure / Risks
    【Hamra Method】
    ▪︎Regular price/ ¥500,000
    ▪︎Number of procedures / 1
    ▪︎Treatment details / This treatment not only removes excess orbital fat, but also moves fat to areas that have become sunken due to aging, etc., thereby eliminating the puffiness under the eyes and at the same time, creating a natural, smooth texture.
    ▪︎Risks and side effects / Pain and heat sensation: about 1 week / Redness of the incision sites: about 3 months ※Private Medical Care

Woman 20's

No.00362

Condition of the Area

  • Tired looking

Patient’s Request

  • #lower eyelid blepharoplasty
  • Before
    Preoperative Condition Part 1
  • Before
    Preoperative Condition Part 1
  • Before
    Preoperative Condition Part 1
  • After
    Postoperative Condition Part 1
  • After
    Postoperative Condition Part 1
  • After
    Postoperative Condition Part 1

Procedure / Risks

  • Procedure / Risks
    【Lower eyelid Blepharoplasty】
    ▪︎Regular price / ¥19,800〜¥250,500
    ▪︎Number of procedures / 1
    ▪︎Treatment details / This is a treatment that removes only the excess fat that causes dark circles from the inner, central, and outer areas while adjusting the balance.
    ▪︎Risks and side effects / Bruising, swelling, redness, conjunctival edema ※Private Medical Care

Woman 40's

No.00287

Condition of the Area

  • Prominent sagging, Bulging under the eyes

Patient’s Request

  • #lower eyelid blepharoplasty
  • Before
    Preoperative Condition Part 1
  • Before
    Preoperative Condition Part 1
  • Before
    Preoperative Condition Part 1
  • After
    Postoperative Condition Part 1
  • After
    Postoperative Condition Part 1
  • After
    Postoperative Condition Part 1

Procedure / Risks

  • Procedure / Risks
    【Lower eyelid Blepharoplasty】
    ▪︎Regular price / ¥19,800〜¥250,500
    ▪︎Number of procedures / 1
    ▪︎Treatment details / This is a treatment that removes only the excess fat that causes dark circles from the inner, central, and outer areas while adjusting the balance.
    ▪︎Risks and side effects / Bruising, swelling, redness, conjunctival edema ※Private Medical Care

Woman 30's

No.00167

Condition of the Area

  • dark circles

Patient’s Request

  • #lower eyelid blepharoplasty
  • Before
    Preoperative Condition Part 1
  • Before
    Preoperative Condition Part 1
  • Before
    Preoperative Condition Part 1
  • After
    Postoperative Condition Part 1
  • After
    Postoperative Condition Part 1
  • After
    Postoperative Condition Part 1

Procedure / Risks

  • Procedure / Risks
    【Lower eyelid Blepharoplasty】
    ▪︎Regular price / ¥19,800〜¥250,500
    ▪︎Number of procedures / 1
    ▪︎Treatment details / This is a treatment that removes only the excess fat that causes dark circles from the inner, central, and outer areas while adjusting the balance.
    ▪︎Risks and side effects / Bruising, swelling, redness, conjunctival edema ※Private Medical Care

Woman 60's

No.00162

Condition of the Area

  • Prominent sagging, Bulging under the eyes

Patient’s Request

  • #lower eyelid blepharoplasty
  • Before
    Preoperative Condition Part 1
  • Before
    Preoperative Condition Part 1
  • Before
    Preoperative Condition Part 1
  • After
    Postoperative Condition Part 1
  • After
    Postoperative Condition Part 1
  • After
    Postoperative Condition Part 1

Procedure / Risks

  • Procedure / Risks
    【Incision Double Eyelid Method】
    ▪︎Regular price / ¥217,800〜¥327,800
    ▪︎Number of procedures / 1
    ▪︎Treatment details / This is a procedure that creates a semi-permanent double width by making an incision in the skin along the desired double line and suturing the levator aponeurosis and subcutaneous tissue.
    ▪︎Risks and side effects / Swelling, complications, subcutaneous bleeding, hematoma, eye discomfort, infection, pain, hypertrophic scars, keloids, etc. ※Private Medical Care

    【Lower eyelid Blepharoplasty】
    ▪︎Regular price / ¥19,800〜¥250,500
    ▪︎Number of procedures / 1
    ▪︎Treatment details / This is a treatment that removes only the excess fat that causes dark circles from the inner, central, and outer areas while adjusting the balance.
    ▪︎Risks and side effects / Bruising, swelling, redness, conjunctival edema ※Private Medical Care

Woman 50's

No.00160

Condition of the Area

  • Prominent sagging, Bulging under the eyes

Patient’s Request

  • #Anterior Hamra Method
  • Before
    Preoperative Condition Part 1
  • Before
    Preoperative Condition Part 1
  • Before
    Preoperative Condition Part 1
  • After
    Postoperative Condition Part 1
  • After
    Postoperative Condition Part 1
  • After
    Postoperative Condition Part 1

Procedure / Risks

  • Procedure / Risks
    【Hamra Method】
    ▪︎Regular price/ ¥500,000
    ▪︎Number of procedures / 1
    ▪︎Treatment details / This treatment not only removes excess orbital fat, but also moves fat to areas that have become sunken due to aging, etc., thereby eliminating the puffiness under the eyes and at the same time, creating a natural, smooth texture.
    ▪︎Risks and side effects / Pain and heat sensation: about 1 week / Redness of the incision sites: about 3 months ※Private Medical Care

Woman 40's

No.00157

Condition of the Area

  • Prominent sagging, Bulging under the eyes
  • dark circles

Patient’s Request

  • #Lessen sagging and bulging
  • #Anterior Hamra Method
  • Before
    Preoperative Condition Part 1
  • Before
    Preoperative Condition Part 1
  • Before
    Preoperative Condition Part 1
  • After
    Postoperative Condition Part 1
  • After
    Postoperative Condition Part 1
  • After
    Postoperative Condition Part 1

Procedure / Risks

  • Procedure / Risks
    【Sub-Brow Lift】
    ▪︎Regular price / ¥346,500
    ▪︎Number of procedures / 1
    ▪︎Treatment details / This is a procedure to improve sagging eyelids by incising the excess skin just below the eyebrows.
    ▪︎Risks and side effects / Swelling, bruising, infection, asymmetry, scars, redness, and unintended wrinkles ※Private Medical Care

    【Hamra Method】
    ▪︎Regular price/ ¥500,000
    ▪︎Number of procedures / 1
    ▪︎Treatment details / This treatment not only removes excess orbital fat, but also moves fat to areas that have become sunken due to aging, etc., thereby eliminating the puffiness under the eyes and at the same time, creating a natural, smooth texture.
    ▪︎Risks and side effects / Pain and heat sensation: about 1 week / Redness of the incision sites: about 3 months ※Private Medical Care

    【Incision Double Eyelid Method】
    ▪︎Regular price / ¥217,800〜¥327,800
    ▪︎Number of procedures / 1
    ▪︎Treatment details / This is a procedure that creates a semi-permanent double width by making an incision in the skin along the desired double line and suturing the levator aponeurosis and subcutaneous tissue.
    ▪︎Risks and side effects / Swelling, complications, subcutaneous bleeding, hematoma, eye discomfort, infection, pain, hypertrophic scars, keloids, etc. ※Private Medical Care

Woman 60's

No.00148

Condition of the Area

  • Prominent sagging, Bulging under the eyes

Patient’s Request

  • #lower eyelid blepharoplasty
  • Before
    Preoperative Condition Part 1
  • Before
    Preoperative Condition Part 1
  • Before
    Preoperative Condition Part 1
  • After
    Postoperative Condition Part 1
  • After
    Postoperative Condition Part 1
  • After
    Postoperative Condition Part 1

Procedure / Risks

  • Procedure / Risks
    【Lower eyelid Blepharoplasty】
    ▪︎Regular price / ¥19,800〜¥250,500
    ▪︎Number of procedures / 1
    ▪︎Treatment details / This is a treatment that removes only the excess fat that causes dark circles from the inner, central, and outer areas while adjusting the balance.
    ▪︎Risks and side effects / Bruising, swelling, redness, conjunctival edema ※Private Medical Care

Man 50's

No.00147

Condition of the Area

  • Prominent sagging, Bulging under the eyes

Patient’s Request

  • #lower eyelid blepharoplasty
  • Before
    Preoperative Condition Part 1
  • Before
    Preoperative Condition Part 1
  • Before
    Preoperative Condition Part 1
  • After
    Postoperative Condition Part 1
  • After
    Postoperative Condition Part 1
  • After
    Postoperative Condition Part 1

Procedure / Risks

  • Procedure / Risks
    【Lower eyelid Blepharoplasty】
    ▪︎Regular price / ¥19,800〜¥250,500
    ▪︎Number of procedures / 1
    ▪︎Treatment details / This is a treatment that removes only the excess fat that causes dark circles from the inner, central, and outer areas while adjusting the balance.
    ▪︎Risks and side effects / Bruising, swelling, redness, conjunctival edema ※Private Medical Care

Man 50's

No.00145

Condition of the Area

  • dark circles

Patient’s Request

  • #Lessen sagging and bulging
  • #Anterior Hamra Method
  • Before
    Preoperative Condition Part 1
  • Before
    Preoperative Condition Part 1
  • Before
    Preoperative Condition Part 1
  • After
    Postoperative Condition Part 1
  • After
    Postoperative Condition Part 1
  • After
    Postoperative Condition Part 1

Procedure / Risks

  • Procedure / Risks
    【Sub-Brow Lift】
    ▪︎Regular price / ¥346,500
    ▪︎Number of procedures / 1
    ▪︎Treatment details / This is a procedure to improve sagging eyelids by incising the excess skin just below the eyebrows.
    ▪︎Risks and side effects / Swelling, bruising, infection, asymmetry, scars, redness, and unintended wrinkles ※Private Medical Care

    【Hamra Method】
    ▪︎Regular price/ ¥500,000
    ▪︎Number of procedures / 1
    ▪︎Treatment details / This treatment not only removes excess orbital fat, but also moves fat to areas that have become sunken due to aging, etc., thereby eliminating the puffiness under the eyes and at the same time, creating a natural, smooth texture.
    ▪︎Risks and side effects / Pain and heat sensation: about 1 week / Redness of the incision sites: about 3 months ※Private Medical Care

Woman 30's

No.00141

Condition of the Area

  • dark circles

Patient’s Request

  • #lower eyelid blepharoplasty
  • Before
    Preoperative Condition Part 1
  • Before
    Preoperative Condition Part 1
  • Before
    Preoperative Condition Part 1
  • After
    Postoperative Condition Part 1
  • After
    Postoperative Condition Part 1
  • After
    Postoperative Condition Part 1

Procedure / Risks

  • Procedure / Risks
    【Lower eyelid Blepharoplasty】
    ▪︎Regular price / ¥19,800〜¥250,500
    ▪︎Number of procedures / 1
    ▪︎Treatment details / This is a treatment that removes only the excess fat that causes dark circles from the inner, central, and outer areas while adjusting the balance.
    ▪︎Risks and side effects / Bruising, swelling, redness, conjunctival edema ※Private Medical Care

Man 40's

No.00140

Condition of the Area

  • Prominent sagging, Bulging under the eyes

Patient’s Request

  • #lower eyelid blepharoplasty
  • Before
    Preoperative Condition Part 1
  • Before
    Preoperative Condition Part 1
  • Before
    Preoperative Condition Part 1
  • After
    Postoperative Condition Part 1
  • After
    Postoperative Condition Part 1
  • After
    Postoperative Condition Part 1

Procedure / Risks

  • Procedure / Risks
    【Lower eyelid Blepharoplasty】
    ▪︎Regular price / ¥19,800〜¥250,500
    ▪︎Number of procedures / 1
    ▪︎Treatment details / This is a treatment that removes only the excess fat that causes dark circles from the inner, central, and outer areas while adjusting the balance.
    ▪︎Risks and side effects / Bruising, swelling, redness, conjunctival edema ※Private Medical Care

Woman 40's

No.00139

Condition of the Area

  • dark circles

Patient’s Request

  • #lower eyelid blepharoplasty
  • Before
    Preoperative Condition Part 1
  • Before
    Preoperative Condition Part 1
  • Before
    Preoperative Condition Part 1
  • After
    Postoperative Condition Part 1
  • After
    Postoperative Condition Part 1
  • After
    Postoperative Condition Part 1

Procedure / Risks

  • Procedure / Risks
    【Lower eyelid Blepharoplasty】
    ▪︎Regular price / ¥19,800〜¥250,500
    ▪︎Number of procedures / 1
    ▪︎Treatment details / This is a treatment that removes only the excess fat that causes dark circles from the inner, central, and outer areas while adjusting the balance.
    ▪︎Risks and side effects / Bruising, swelling, redness, conjunctival edema ※Private Medical Care

Woman 40's

No.00138

Condition of the Area

  • dark circles

Patient’s Request

  • #lower eyelid blepharoplasty
  • Before
    Preoperative Condition Part 1
  • Before
    Preoperative Condition Part 1
  • Before
    Preoperative Condition Part 1
  • After
    Postoperative Condition Part 1
  • After
    Postoperative Condition Part 1
  • After
    Postoperative Condition Part 1

Procedure / Risks

  • Procedure / Risks
    【Lower eyelid Blepharoplasty】
    ▪︎Regular price / ¥19,800〜¥250,500
    ▪︎Number of procedures / 1
    ▪︎Treatment details / This is a treatment that removes only the excess fat that causes dark circles from the inner, central, and outer areas while adjusting the balance.
    ▪︎Risks and side effects / Bruising, swelling, redness, conjunctival edema ※Private Medical Care

Woman 60's

No.00135

Condition of the Area

  • Prominent sagging, Bulging under the eyes
  • dark circles

Patient’s Request

  • #Lessen sagging and bulging
  • #lower eyelid blepharoplasty
  • Before
    Preoperative Condition Part 1
  • Before
    Preoperative Condition Part 1
  • Before
    Preoperative Condition Part 1
  • After
    Postoperative Condition Part 1
  • After
    Postoperative Condition Part 1
  • After
    Postoperative Condition Part 1

Procedure / Risks

  • Procedure / Risks
    【Lower eyelid Blepharoplasty】
    ▪︎Regular price / ¥19,800〜¥250,500
    ▪︎Number of procedures / 1
    ▪︎Treatment details / This is a treatment that removes only the excess fat that causes dark circles from the inner, central, and outer areas while adjusting the balance.
    ▪︎Risks and side effects / Bruising, swelling, redness, conjunctival edema ※Private Medical Care

Woman 40's

No.00133

Condition of the Area

  • dark circles

Patient’s Request

  • #lower eyelid blepharoplasty
  • Before
    Preoperative Condition Part 1
  • Before
    Preoperative Condition Part 1
  • Before
    Preoperative Condition Part 1
  • After
    Postoperative Condition Part 1
  • After
    Postoperative Condition Part 1
  • After
    Postoperative Condition Part 1

Procedure / Risks

  • Procedure / Risks
    【Lower eyelid Blepharoplasty】
    ▪︎Regular price / ¥19,800〜¥250,500
    ▪︎Number of procedures / 1
    ▪︎Treatment details / This is a treatment that removes only the excess fat that causes dark circles from the inner, central, and outer areas while adjusting the balance.
    ▪︎Risks and side effects / Bruising, swelling, redness, conjunctival edema ※Private Medical Care

Woman 50's

No.00131

Condition of the Area

  • Prominent sagging, Bulging under the eyes

Patient’s Request

  • #Anterior Hamra Method
  • Before
    Preoperative Condition Part 1
  • Before
    Preoperative Condition Part 1
  • Before
    Preoperative Condition Part 1
  • After
    Postoperative Condition Part 1
  • After
    Postoperative Condition Part 1
  • After
    Postoperative Condition Part 1

Procedure / Risks

  • Procedure / Risks
    【Hamra Method】
    ▪︎Regular price/ ¥500,000
    ▪︎Number of procedures / 1
    ▪︎Treatment details / This treatment not only removes excess orbital fat, but also moves fat to areas that have become sunken due to aging, etc., thereby eliminating the puffiness under the eyes and at the same time, creating a natural, smooth texture.
    ▪︎Risks and side effects / Pain and heat sensation: about 1 week / Redness of the incision sites: about 3 months ※Private Medical Care